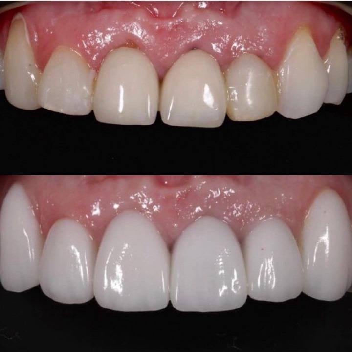
Crowns
Family Dentistry, Cosmetic Dentist
& Facial Aesthetics.
When would I need a crown?
If you have badly broken teeth or weakening caused by decay, large fillings or worn down teeth, dental crowns are the ideal solution to restore your teeth in a natural way. Dental crowns are commonly referred to to as a “Cap”, because the crown protects the damaged tooth from further damage. A dental crown can recreate the original shape of your tooth as a
- natural tooth whilst improving its strength.
- To strengthen a broken tooth that is decayed or cracked.
- If you have a tooth which is at risk of cracking.
- To improve the appearance of teeth that are a result of discoloured fillings.
- If you have a root filling, having a dental crown on the tooth will give it protection.
- To improve the cleanliness of a tooth.
Need an Emergency Appointment? Call us on 01606 44725
What are they made from?
Dental Crowns can be made from a wide range of materials and we will advise on the best choice for your needs.
Porcelain bonded to metal
This has the advantage of strength from the metal lining and good appearance from the ceramic coating.
All Ceramic
Modern all ceramic materials are now available which give a beautiful appearance whilst still being very strong and durable.
Gold Alloys
Gold can be used where strength is the main consideration.
Our Cosmetic Dentistry Sevices
Teeth whitening
Teeth whitening is one of the easiest ways to enhance your looks. Whether you want to add a sparkle to your smile for your wedding day or perfect your look for business meetings, whitening is simple, affordable and safe.
Veneers
Veneers are an extremely popular choice if your teeth aren’t as aligned as you would like, or maybe you have a small chip in your tooth, which is noticeable when you smile? Maybe your teeth are stained, stopping you from showing your full smile? Whatever the reason, veneers can certainly help. Providing you with the perfect smile, getting veneers doesn’t require any major procedures, and they look like natural teeth.
Dental Bridges
A fixed solution that helps to replace any missing teeth by fixing two or more bridges on either side of the missing tooth providing a placeholder so the new tooth can be fitted with ease, helping to `bridge` the gap.
Teeth Straightening
Today, teeth straightening is more common than ever before. Popular with patients of all ages, we utilise new aligner technologies and cosmetic braces to provide a treatment plan that fits with you and your lifestyle.
Dental Crowns
At Abbey Dental Practice, we provide high-quality ceramic crowns, which can be ideal if you’re self-conscious about a current crown, you have a discoloured tooth, or you’re suffering from a crumbling filling.






