Straighten Your Smile with Invisalign Clear Dental Aligners at Abbey Dental
Contact us to find the next available dates.
Call us on 01606 44725.
Invisalign offers a revolutionary way to straighten your teeth without the hassle of traditional braces. Using clear, removable aligners, Invisalign provides a discreet and comfortable option for achieving a perfect smile.
Explore the numerous benefits of choosing Invisalign with Abbey Dental.
1. Nearly Invisible
Invisalign aligners are made from clear plastic, making them virtually invisible. Most people won’t even notice you’re wearing them, allowing you to smile with confidence throughout your treatment.
2. Comfortable and Convenient
The aligners are custom-made to fit snugly over your teeth, ensuring comfort and ease of use. Unlike traditional braces, there are no metal brackets or wires that could cause irritation in your mouth.
3. Removable Aligners
One of the greatest advantages of Invisalign is that the aligners are removable. This means you can take them out when eating, drinking, brushing, and flossing, allowing for better oral hygiene and no dietary restrictions.
4. Effective for a Variety of Cases
Invisalign is designed to treat a wide range of dental issues, including:
- Crowded teeth
- Gaps between teeth
- Overbites
- Underbites
- Crossbites
5. Customised Treatment Plan
Using advanced 3D imaging technology, your dentist will create a personalised treatment plan that maps out the exact movements of your teeth. You’ll even get to see a virtual representation of your teeth before, during, and after the treatment..
6. Predictable Results
Invisalign’s advanced technology and precise planning provide predictable results, giving you a clear picture of the expected outcome and duration of your treatment.
7. Enhanced Oral Health
Straighter teeth contribute to healthier gums and teeth, reducing the risk of gum disease and tooth decay. Invisalign helps improve your overall oral health while enhancing your smile.
Our Cosmetic Dentistry Sevices
Teeth whitening
Teeth whitening is one of the easiest ways to enhance your looks. Whether you want to add a sparkle to your smile for your wedding day or perfect your look for business meetings, whitening is simple, affordable and safe.
Veneers
Veneers are an extremely popular choice if your teeth aren’t as aligned as you would like, or maybe you have a small chip in your tooth, which is noticeable when you smile? Maybe your teeth are stained, stopping you from showing your full smile? Whatever the reason, veneers can certainly help. Providing you with the perfect smile, getting veneers doesn’t require any major procedures, and they look like natural teeth.
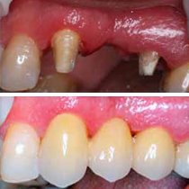
Dental Bridges
A fixed solution that helps to replace any missing teeth by fixing two or more bridges on either side of the missing tooth providing a placeholder so the new tooth can be fitted with ease, helping to `bridge` the gap.
Teeth Straightening
Today, teeth straightening is more common than ever before. Popular with patients of all ages, we utilise new aligner technologies and cosmetic braces to provide a treatment plan that fits with you and your lifestyle.
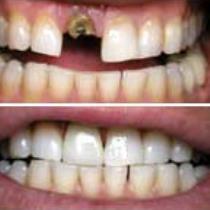
Dental Crowns
At Abbey Dental Practice, we provide high-quality ceramic crowns, which can be ideal if you’re self-conscious about a current crown, you have a discoloured tooth, or you’re suffering from a crumbling filling.





