Veneers
Family Dentistry, Cosmetic Dentist
& Facial Aesthetics.
What are veneers?
Veneers are used to improve the shape, shade, and position of your teeth. There are 2 materials used for dental veneers; composite and porcelain.
Porcelain veneers
These are thin layers of ceramic which are precision made by a highly-skilled dental technician. Porcelain veneers are the gold standard treatment for improving a patient’s smile as they are minimally invasive, last the longest and are wear- and stain-resistant over their entire lifetime and as such, are the most expensive. They are bonded to the teeth to ensure a long-lasting result. Some minor tooth preparation is usually required to enable them to fit well but this is usually around 0.5mm and can even be done without anaesthetic. We normally expect porcelain veneers to last 10+ years before needing replacement.
Composite veneers
Composite is the same material used for white fillings on back teeth, only in this treatment it is sculpted to the front teeth to change the shape, shade and position. The material has its limitations but is currently one of the most popular treatments around due to the lack of tooth preparation required and the lower cost compared to porcelain veneers. The drawbacks are composite stains, chips and wears faster than porcelain, so they usually need repairs or replacement more frequently. Luckily this is an easy procedure as new composite can be bonded to old composite to freshen things up as time goes on. Composite veneers will usually last between 3-7 years but can last longer if they are looked after well.
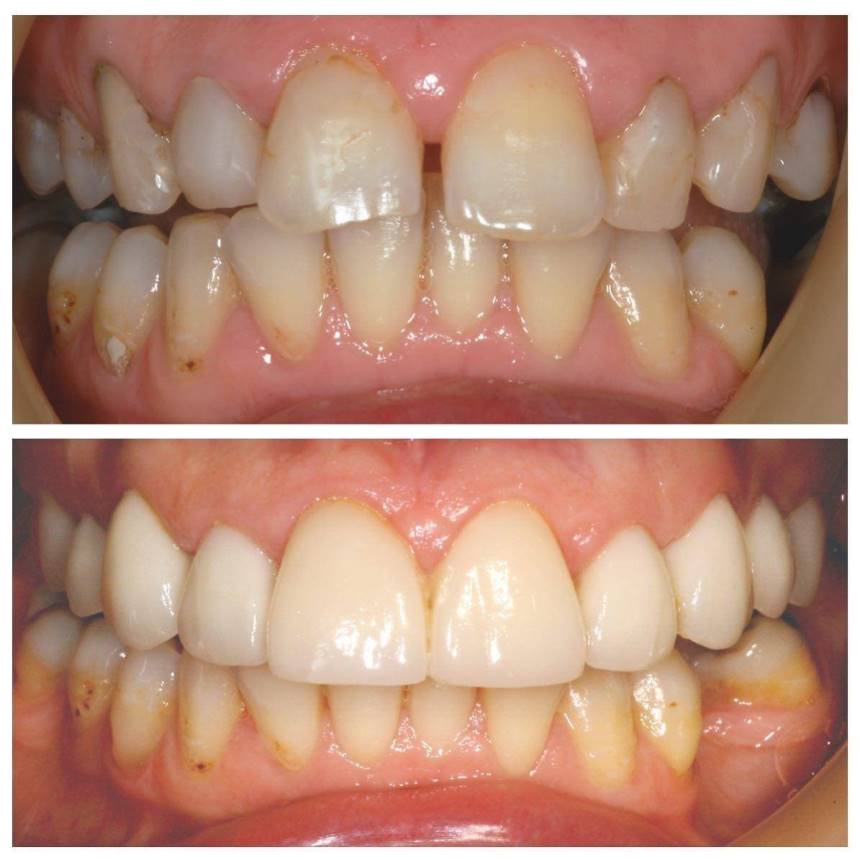
Before and After
Need an Emergency Appointment? Call us on 01606 44725
Our Cosmetic Dentistry Sevices
Teeth whitening
Teeth whitening is one of the easiest ways to enhance your looks. Whether you want to add a sparkle to your smile for your wedding day or perfect your look for business meetings, whitening is simple, affordable and safe.
Veneers
Veneers are an extremely popular choice if your teeth aren’t as aligned as you would like, or maybe you have a small chip in your tooth, which is noticeable when you smile? Maybe your teeth are stained, stopping you from showing your full smile? Whatever the reason, veneers can certainly help. Providing you with the perfect smile, getting veneers doesn’t require any major procedures, and they look like natural teeth.
Dental Bridges
A fixed solution that helps to replace any missing teeth by fixing two or more bridges on either side of the missing tooth providing a placeholder so the new tooth can be fitted with ease, helping to `bridge` the gap.
Teeth Straightening
Today, teeth straightening is more common than ever before. Popular with patients of all ages, we utilise new aligner technologies and cosmetic braces to provide a treatment plan that fits with you and your lifestyle.
Dental Crowns
At Abbey Dental Practice, we provide high-quality ceramic crowns, which can be ideal if you’re self-conscious about a current crown, you have a discoloured tooth, or you’re suffering from a crumbling filling.






